반응형

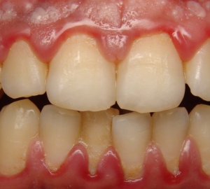
잇몸이 부었을 때 대처하는 방법
1. 염증 완화
- 소금물 헹굼: 따뜻한 소금물로 입을 헹구면 염증을 완화시키고 세균을 제거하는 데 도움이 됩니다.
- 방법: 소금 1 티스푼을 따뜻한 물 한 컵에 녹여 하루 2-3회 헹구세요.
- 찬 찜질: 냉찜질을 통해 붓기와 통증을 줄일 수 있습니다.
- 방법: 얼음 팩을 수건에 싸서 10-15분 동안 부은 부위에 대고, 필요시 반복합니다.
2. 구강 위생 개선
- 부드러운 칫솔 사용: 잇몸을 자극하지 않도록 부드러운 칫솔을 사용해 양치질합니다.
- 방법: 하루 2회, 특히 식사 후 꼼꼼히 양치질을 합니다.
- 치실 사용: 치실을 사용해 치아 사이의 음식물 찌꺼기를 제거합니다.
- 방법: 하루 한 번, 부드럽게 치아 사이를 청소합니다.
3. 자극 피하기
- 자극적인 음식 피하기: 매운 음식, 산성 음료 등을 피하여 잇몸을 자극하지 않도록 합니다.
- 방법: 신맛이 강한 과일, 탄산음료 등을 피하세요.
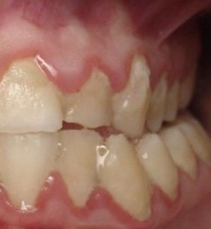
잇몸 붓기의 원인
1. 치주염
- 설명: 잇몸에 염증이 생기고 치아 주위 조직이 손상되어 붓기가 발생합니다.
- 원인: 치석, 치태, 세균 감염.
2. 치은염
- 설명: 잇몸의 표면에만 염증이 생기는 초기 단계의 잇몸 질환입니다.
- 원인: 불완전한 구강 위생, 치태.
3. 치주 농양
- 설명: 치아와 잇몸 사이에 고름이 생기면서 심한 통증과 붓기를 유발합니다.
- 원인: 세균 감염, 치주염의 진행.
4. 구강 외상
- 설명: 치아를 강하게 부딪히거나 잇몸을 손상시키는 외상으로 인해 붓기가 생깁니다.
- 원인: 충격, 외상.
5. 호르몬 변화
- 설명: 임신, 생리, 사춘기 등의 호르몬 변화로 인해 잇몸이 붓고 민감해질 수 있습니다.
- 원인: 호르몬 변화.
잇몸 붓기 치료 방법
1. 전문가 상담
- 치과 방문: 치과에서 정확한 진단을 받고, 필요한 치료를 받습니다.
- 방법: 정기적인 치과 검진을 통해 구강 건강을 점검하고 필요한 치료를 받습니다.
2. 약물 치료
- 항생제 처방: 세균 감염이 원인일 경우 항생제를 처방받아 복용합니다.
- 방법: 의사의 처방에 따라 항생제를 복용합니다.
- 진통제 사용: 통증 완화를 위해 진통제를 복용합니다.
- 방법: 이부프로펜 등의 진통제를 사용하여 통증을 완화합니다.
3. 전문적인 청소
- 스케일링: 치석과 치태를 제거하기 위해 스케일링을 받습니다.
- 방법: 치과에서 정기적으로 스케일링을 받습니다.
4. 구강 위생 관리
- 올바른 양치질: 잇몸 건강을 유지하기 위해 올바른 양치질을 합니다.
- 방법: 부드러운 칫솔과 불소 함유 치약을 사용하여 하루 2-3회 양치질을 합니다.
도움이 되는 음식
1. 비타민 C가 풍부한 음식
- 예시: 오렌지, 키위, 브로콜리
- 효과: 비타민 C는 잇몸 건강을 유지하고 염증을 완화하는 데 도움이 됩니다.
2. 칼슘이 풍부한 음식
- 예시: 우유, 치즈, 요거트
- 효과: 칼슘은 치아와 잇몸을 강화하는 데 도움이 됩니다.
3. 항염 작용이 있는 음식
- 예시: 생강, 강황
- 효과: 항염 작용이 있어 염증을 줄이는 데 도움이 됩니다.
4. 섬유질이 풍부한 음식
- 예시: 사과, 당근, 셀러리
- 효과: 섬유질이 풍부하여 치아와 잇몸을 자연스럽게 깨끗하게 유지하는 데 도움이 됩니다.
5. 녹차
- 효과: 녹차에 함유된 카테킨이 항균 작용을 하여 잇몸 건강에 도움이 됩니다.
결론
잇몸이 부었을 때는 염증을 완화하고 구강 위생을 철저히 관리하는 것이 중요합니다. 정기적인 치과 검진과 올바른 생활 습관을 통해 잇몸 건강을 유지하세요.















반응형